Aşırı tükürük üretimi neden olur ve nasıl önlenir?
Aşırı tükürük üretimi, yaşam kalitesini olumsuz etkileyen bir durumdur. Bu yazıda, aşırı tükürük üretiminin nedenleri, belirtileri ve önlenmesi üzerine detaylı bilgiler sunulmaktadır. Ayrıca, bu durumu yaşayan bireylerin dikkat etmesi gereken noktalar ve tedavi yöntemleri de ele alınmaktadır.
Aşırı Tükürük Üretimi Neden Olur ve Nasıl Önlenir?Aşırı tükürük üretimi, tıp literatüründe "sialorrhea" olarak adlandırılan bir durumdur. Bu durum, bireylerin yaşam kalitesini etkileyen rahatsız edici bir semptom olarak ortaya çıkabilir. Aşağıda, aşırı tükürük üretiminin nedenleri, belirtileri ve önlenmesi ile ilgili detaylı bir inceleme sunulmaktadır. Aşırı Tükürük Üretiminin NedenleriAşırı tükürük üretiminin birçok nedeni bulunmaktadır. Bu nedenler genel olarak fiziksel, psikolojik veya çevresel faktörlerden kaynaklanabilir. Aşağıda bu nedenlerden bazıları sıralanmıştır:
Aşırı Tükürüğün BelirtileriAşırı tükürük üretiminin belirtileri arasında şunlar yer alabilir:
Aşırı Tükürük Üretiminin ÖnlenmesiAşırı tükürük üretimini önlemek için bazı yöntemler ve stratejiler bulunmaktadır:
Ekstra BilgilerAşırı tükürük üretimi, bireylerin sosyal hayatını etkileyebilir ve psikolojik sorunlara yol açabilir. Bu nedenle, bu durumu yaşayan bireylerin bir sağlık uzmanına başvurması önemlidir. Ayrıca, aşırı tükürük üretimi tedavi edilmediği takdirde, ağız hijyenini olumsuz etkileyebilir ve diş sağlığı sorunlarına yol açabilir. Dolayısıyla, erken tanı ve tedavi süreci oldukça kritik öneme sahiptir. Sonuç olarak, aşırı tükürük üretimi karmaşık bir durumdur ve birçok faktörden etkilenmektedir. Hem fiziksel hem de psikolojik etkenlerin göz önünde bulundurulması, uygun tedavi yöntemlerinin belirlenmesine yardımcı olacaktır. |






























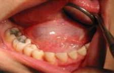
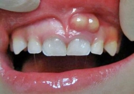
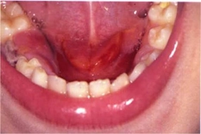
Aşırı tükürük üretiminin nedenleri arasında diş ve ağız sağlığı sorunları olduğunu duymak beni endişelendiriyor. Özellikle diş çürükleri veya diş eti hastalıkları gibi durumlar yaşadıysanız, tükürük üretiminin artması gerçekten rahatsız edici olabilir. Ayrıca, stres ve psikolojik faktörlerin bu durumu etkileyebileceğini düşünüyorum. Stresi azaltmak için meditasyon gibi tekniklerin uygulanması, belki de tükürük üretimini kontrol altına alabilir. Peki, bu durumla baş etmenin sizin için en iyi yolu ne oldu?
Radi bey, endişelerinizi anlıyorum. Aşırı tükürük üretimi gerçekten rahatsız edici olabilir. Benim deneyimlerime göre:
Ağız ve diş sağlığı kontrolü en öncelikli adım oldu. Diş hekimi muayenesi sonrası gerekli tedavileri yaptırmak önemli bir rahatlama sağladı.
Stres yönetimi teknikleri konusunda haklısınız. Düzenli nefes egzersizleri ve meditasyon benim için oldukça faydalı oldu.
Beslenme düzenlemeleri de etkili - baharatlı ve asitli gıdaları sınırlandırmak, daha küçük porsiyonlarla sık sık yemek işe yaradı.
Ayrıca yeterli su tüketimi ve sakız çiğnemek gibi basit yöntemler de günlük hayatta pratik çözümler sundu. Tabii ki herkesin durumu farklı olduğu için bir doktora danışmak en doğrusu olacaktır.